Wiecie co, on jest jednym wielkim skikającym urokiem, naprawdę
Już mi się łzy cisną na myśl, że się rozstaniemy
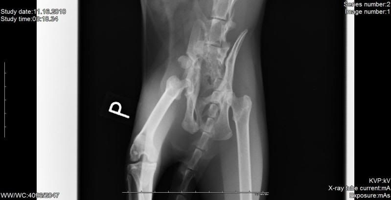
nie jest dobrze
a co do Merlinka to myślę, że będzie ok bo on próbuje stawać na tej nodze, czasem się nią podpiera, ale zaraz cofa... wyraźnie widać, że boli, a jak boli znaczy że działa

będzie dobrze, musi być
to dzielny chłopak jest

a o dr Bieżyńskim słyszałam wyłącznie dobre rzeczy, także myślę, że lepiej trafić nasz Krzywusek nie mógł
Olgę urzekł "peryskopem"
(mam transporter z otwieraną klapką na górze, taką, że można tylko ręke zmieścić żeby kociaka pomiziać od góry i jak się tylko otworzy tą klapkę, to Merlin wysuwa peryskop i skanuje teren przez szyberdach, taki koci lans

ja wam mówię, on jeszcze podbije świat!

)
aha, tak sobie myślę, że w ogłoszeniach trzeba dopisać, że szukamy dla niego domku niewychodzącego... no niestety, już nigdy kitek nie będzie tak sprawny jak zdrowe kociaki. Poza tym on się nie garnie na dwór, nie płacze, że jak nie wyjdzie to skona w męczarniach (w przeciwieństwie do moich rezydentów

) także myślę, że to dla niego bezpieczniejsza opcja.
No i sprawdzone... Merlinek boi się psów. Matko jak on nafuczał na mojego Grafcia, nawet progu bidak nie przekroczył tylko patrzył na mnie wzrokiem pytając "ej, a o co mu chodzi?"

.... będziemy nad tym pracować, ale nie wiem na ile uda się go oswoić z tym gatunkiem.
Zobnaczymy, jest jeszcze trochę czasu
